ひらの歯科医院は、お口の健康を通して、
皆様が明るく、笑顔の絶えない毎日を過ごせるために、少しでも貢献していきたいと考えています。
怖くない、痛くない、優しくて心地よい歯科診療を目指して、日々努力してまいります。
十分な診断を行ったうえで治療方針をご提案し、患者様のご意見を尊重しながら一緒に治療方法を考えていきます。
お口のお悩みは、どんなことでもご相談いただけますので、お気軽にお問い合わせください。
ホワイトニング

ホワイトニングとは、たばこやワイン・加齢によって黄ばんでしまった歯を白く漂白する方法です。
当院では、ご自宅で少しずつ歯を白くしていく「ホームホワイトニング」と歯科医院で行う「オフィスホワイトニング」をご用意し、患者様のご希望やライフスタイルに合ったホワイトニング方法をご提案いたします。
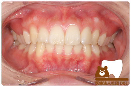
治療前

治療後

当院が取り扱うホワイトニング
デュアルホワイトニング

オフィスホワイトニングとホームホワイトニングの両方を行う方法です。
短期間で白くしたい、効果を長持ちさせたい方におススメです。
オフィスホワイトニングとホームホワイトニングのそれぞれのデメリットを補うことができ、 セット割引をしているのでお得なメニューです。
料金:66,500~68,500円(税込)
(来院回数3回)
※追加ジェル1本:2,000~2,750円(税込)
デュアルホワイトニングの特長
- 短期間で白くしたい、かつ効果が長持ちします
- セット割引で5,000円お得です
- 医院での施術後ホームケアが行えます
オフィスホワイトニング

当院のオフィスホワイトニングはBRILLICA bianco(ブリリカ ビアンコ)というホワイトニング照射器を使用します。
開口器に直接装着するため、施術中に動いたとしても光がずれることがないため、歯を効率よく白くできます。
重さも100gという軽量であるため、患者様への負担がとても少ないです。
料金:38,500円 (税込) (来院回数1回)
オフィスホワイトニングの特長
- クリニックで行うため、治療回数・期間が短い
- 医師らとのコミュニケーションを図りながら行える安心感がある
- ホームホワイトニングと比べると、色が後戻りしやすい
ホームホワイトニング

専用のマウスピースとジェルを用いて、患者様ご自身でお好きな時間に数時間装着して歯を白くする方法です。
回数を調整することで、ご希望の色調に合わせたホワイトニングが可能で、オフィスホワイトニングよりも持続性が高く、長期に渡って自然な白さを保てます。
料金:33,000~35,000円(税込)
(来院回数2回)
※追加ジェル1本:2,000~2,750円(税込)
ホームホワイトニングの特長
- 自宅以外でも、道具と材料があれば多忙な方も気軽に行える
- 一度マウスピースを作製することで、薬剤の追加で持続できる
- 飲食物の制限をしなければならなかったりオフィスホワイトニングと比較して長い時間の漂白が必要
ホワイトニング後に気をつけること
ホワイトニング後は、しばらくの間、通常よりも歯に色がつきやすい状態となります。
ホワイトニングの白さを長持ちさせるためにも下記のような色の濃い食べ物や飲み物はできるだけ控えるようにしてください。

















































TEL